Consult directly with Dr Nabeel for a personalized dental implant treatment plan. From single tooth to full mouth solutions with clear timelines.
Carefully planned implant options for single missing teeth, full mouth cases and advanced bone loss.
From your first scan to your final smile, every step is planned to keep you comfortable, informed and confident with your implant treatment.
You receive digital planning, guided implant surgery and a calm, private clinic environment. Every stage of your implant treatment is designed to feel controlled, safe and personal to your case.
Consultant Prosthodontics and Implantology
BDS, DDT, MDSc, JB, PDD
Dr. Nabeel is known for advanced implant techniques, a gentle approach and precise smile design for complex cases.
He focuses on
Patients value his honesty, humility and depth of knowledge. He is often rated as one of the best implant dentists in UAE.
We work with internationally recognized implant systems known for precision engineering, long term stability, and proven clinical success.
















Real feedback from patients who trusted Dr. Nabeel Safwat Al Nahass with their smiles.
Watch short video reels from real patients. See natural results, real reactions, and honest experiences. Tap to play. Control sound anytime.
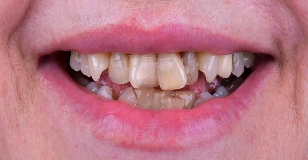
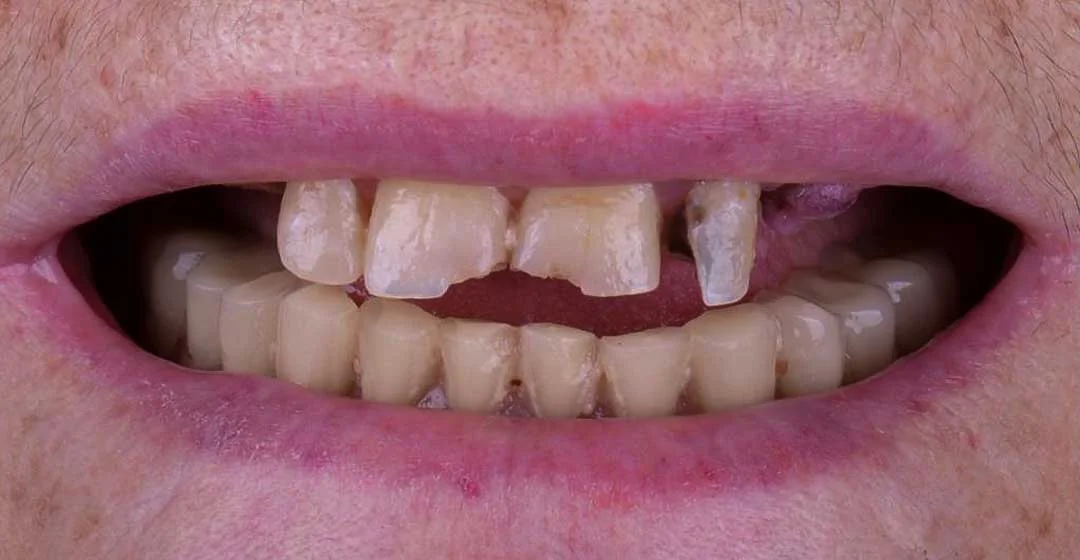
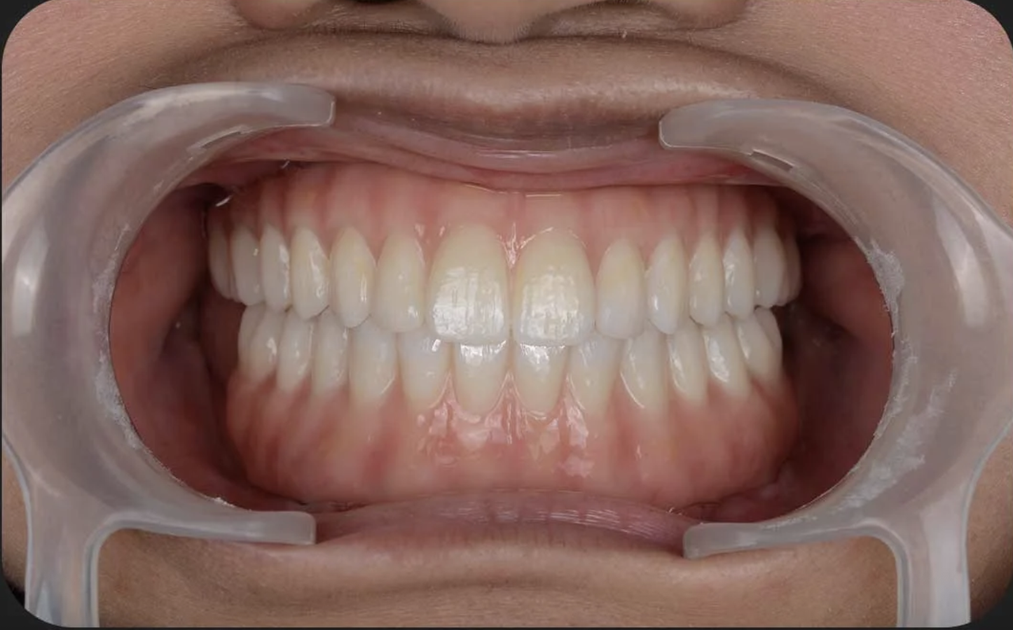
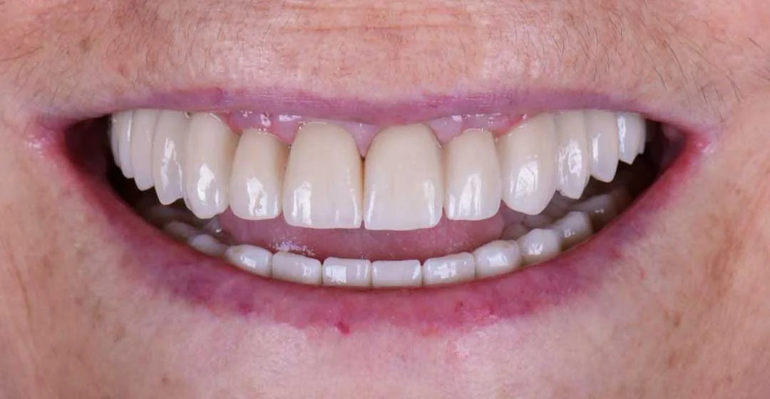
Real full mouth rehabilitation and implant cases treated by Dr. Nabeel.
Book a same day consultation and enjoy stable, natural looking dental implants with minimal waiting time and fewer visits.
Walk in with gaps, walk out with a complete smile.
Advanced planning for strong, long lasting implant results.
Experienced clinical team focused on implants.
Trusted by UAE residents for long-term smile.
Share your details and our team will call you back to confirm the best time and explain your options.
Choose the most convenient clinic to book your graftless implant consultation.
Sheikh Khalifa Bin Zayed St - 2 Al Nuaimia - sky Tower 4th floor
Hamarain Center - Sultan Al Kabeer Rd - Seih Al Araibi - Ras Al Khaimah - UAE
Clinic 401, SARH AL EMARAT - Office Tower Corniche St - Al Majaz 3 - Al Majaz - Sharjah
32nd Floor Sharjah busines avenue - CBI Bank Tower
Al majaz northern PK St - Al majaz 2 - Sharjah